Seattle’s Top Early Warning Signs of Gum Disease You Shouldn’t Ignore
It is importaint for Seattle patients to recognize warning signs early and be proactive to maintain long-term gum health.
Gum disease often starts quietly—but the consequences of ignoring it can be serious. For patients in Seattle’s Greenwood neighborhood, where busy lifestyles and daily stress can push oral health down the priority list, recognizing the early warning signs of gum disease is essential.
At Aurora Dental Care, we regularly help patients catch gum disease early—when it’s easiest to treat and before it causes lasting damage. If you know what to look for, you can take action quickly and protect your smile for years to come.
What Is Gum Disease?
Gum disease, also known as periodontal disease, is an infection of the gums caused by bacteria in plaque buildup. It typically begins as gingivitis, a mild and reversible condition, but can progress into periodontitis, which may lead to gum recession, bone loss, and even tooth loss.
The key? Catching it early.
1. Bleeding Gums When Brushing or Flossing
One of the earliest—and most commonly ignored—signs of gum disease is bleeding gums.
If you notice pink in the sink when brushing or flossing, your gums are likely inflamed. Healthy gums should not bleed with normal oral hygiene.
What it means:
- Early inflammation (gingivitis)
- Plaque buildup along the gumline
- Irritated or infected gum tissue
What to do:
Don’t stop brushing. Instead, improve your technique and schedule a professional cleaning.
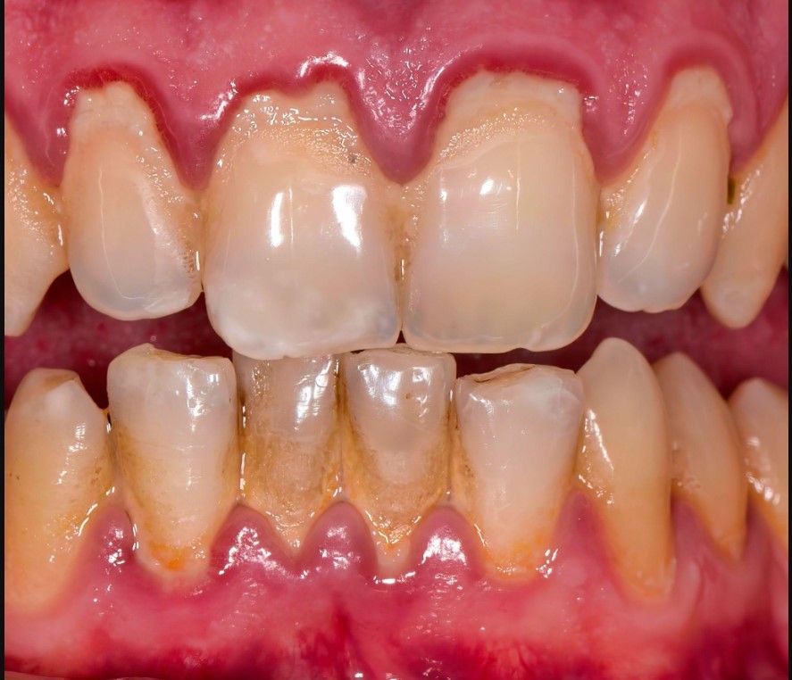
2. Red, Swollen, or Tender Gums
Healthy gums are firm and pale pink. If your gums appear darker, swollen, or feel sensitive, it could be a sign of infection.
Common symptoms include:
- Puffy or inflamed gum tissue
- Tenderness when eating or brushing
- Gums that look shiny or feel soft
This inflammation is your body’s response to bacteria—and it won’t resolve without proper care.
3. Persistent Bad Breath (Halitosis)
If you’re dealing with chronic bad breath that doesn’t improve with brushing, mouthwash, or gum, gum disease may be the culprit.
Bacteria trapped under the gumline release toxins that create unpleasant odors.
Watch for:
- Ongoing bad breath despite good hygiene
- A constant bad taste in your mouth
- Dry mouth combined with odor
This is often one of the first signs patients notice—but not always one they connect to gum health.
4. Gum Recession (Teeth Look Longer)
Are your teeth starting to look longer than they used to? That’s often not the teeth changing—it’s your gums pulling away.
Gum recession is a sign that gum disease may be progressing.
Why it matters:
- Exposes sensitive tooth roots
- Increases risk of cavities and sensitivity
- Can lead to bone loss if untreated
Early intervention can often stop or slow this process.
5. Increased Tooth Sensitivity
If hot coffee or cold drinks suddenly cause discomfort, your gums may be receding or inflamed.
As gums pull back, they expose areas of the tooth that aren’t protected by enamel, making them more sensitive.
Common triggers:
- Cold air or beverages
- Hot foods or drinks
- Sweet or acidic foods
This symptom often overlaps with gum recession and should be evaluated promptly.
6. Changes in How Your Teeth Fit Together
In more advanced stages, gum disease can begin to affect the structures supporting your teeth.
You might notice:
- Teeth shifting slightly
- Changes in your bite
- Spaces forming between teeth
These signs indicate deeper periodontal involvement and require immediate attention.
7. Pus or Signs of Infection
Any visible pus, swelling, or localized pain around the gums is a sign of infection and should never be ignored.
This may indicate an abscess or advanced periodontal disease.
Seek care immediately if you notice:
- Swelling near a tooth
- Pain when chewing
- Discharge along the gumline
Why Early Detection Matters
The earlier gum disease is identified, the easier it is to treat—and often reverse.
Benefits of early treatment:
- Prevents permanent damage
- Reduces need for surgical procedures
- Saves time and money long-term
- Protects your overall health (gum disease has been linked to heart disease, diabetes, and more)
For Seattle patients, especially those juggling work, family, and daily commutes, preventative care is one of the smartest investments you can make.
Gum Disease Treatment Options
At Aurora Dental Care in Greenwood, we offer personalized periodontal care based on your specific needs.
Early-stage treatment may include:
- Professional dental cleanings
- Improved at-home hygiene routines
- Antibacterial rinses
More advanced cases may require:
- Scaling and root planing (deep cleaning)
- Periodontal maintenance visits
- Laser therapy or surgical treatment
Our goal is always to stop the disease, restore gum health, and prevent recurrence.
How to Protect Your Gum Health
Preventing gum disease starts with consistency.
Simple habits that make a big difference:
- Brush twice daily with a soft-bristle toothbrush
- Floss every day (yes—every day)
- Use an antimicrobial mouthwash if recommended
- Stay consistent with dental checkups and cleanings
- Avoid smoking or tobacco products
Even small improvements can have a major impact over time.
When Should You See a Dentist?
If you notice any of the warning signs above—even mild ones—it’s time to schedule an evaluation.
Gum disease doesn’t typically cause pain in its early stages, which is why it’s so often overlooked. By the time discomfort appears, the condition may already be advanced.
Local Care You Can Trust in Seattle’s Greenwood Neighborhood
Aurora Dental Care proudly serves patients throughout Greenwood and surrounding Seattle communities. We understand the unique needs of our local patients and provide compassionate, modern care in a comfortable environment.
If you’ve noticed bleeding gums, sensitivity, or any changes in your smile, don’t wait.
Schedule Your Gum Health Evaluation Today
Early action can make all the difference.
Contact Aurora Dental Care today to schedule your periodontal evaluation and take the first step toward healthier gums and a stronger smile.






